矯正治療の症例集ORTHODONTIC CASE

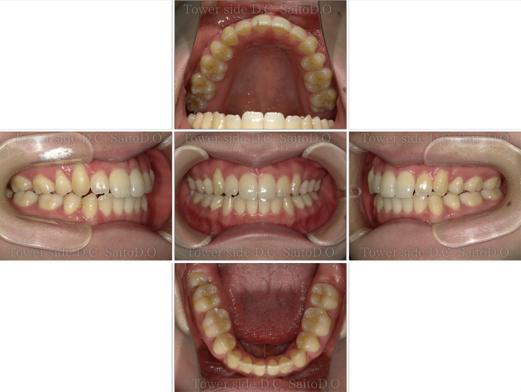
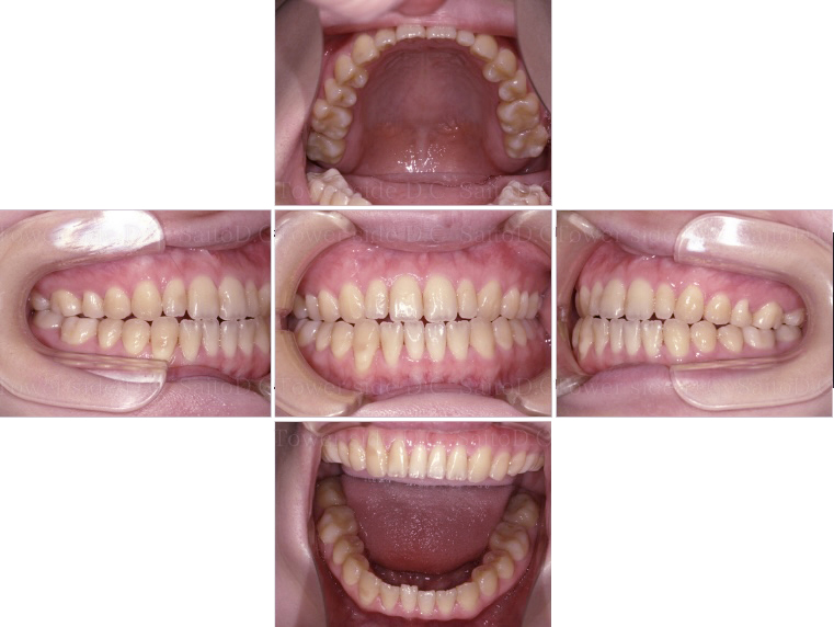
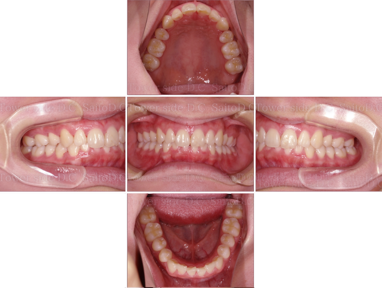
症例11CASE 11

|20代歳(女性)|

インビザライン症例
症例(施術前)
症例(施術後)
主訴 歯のガタガタを綺麗にしたい
状況
  • 切端咬合
  • 左上犬歯部反対咬合
治療費 326,700円(税込)(自由診療)
治療期間 7ヶ月
治療内容 マウスピース矯正を使用し、前歯と奥歯のディスキングを行いスペースをつくり、正しいかみ合わせに改善した。噛み合わせ、歯並びは改善されその後保定装置(リテーナー)を使用し安定している。
リスク
  • 歯根呼吸や、歯根の成長が阻害される可能性、歯髄が壊死する可能性。
  • 歯の痛み、顎の痛み、虫歯、歯周病、矯正器具により口腔粘膜の傷、喋りにくさが生じる可能性。
  • 矯正治療後は、リテーナーを使用しないと歯の位置に後戻りが生じる可能性。

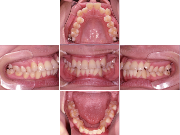
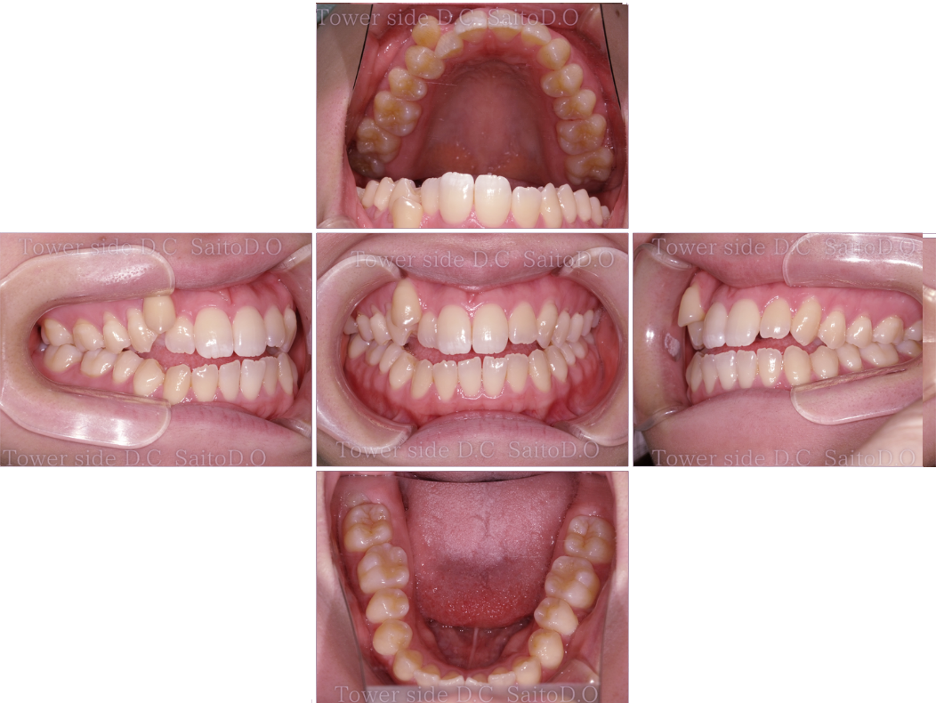
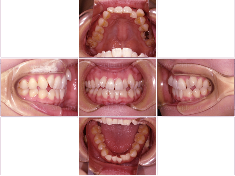
症例10CASE 10

|20代歳(女性)|

ワイヤー インビザライン症例
症例(施術前)
症例(施術後)
主訴 上前歯が出ている、上下前歯がガタガタが気になる
状況
  • 上顎前歯前突
  • 下顎前歯叢生
  • 過蓋咬合
治療費 968,000円(税込)(自由診療)
治療期間 2年3ヶ月
治療内容 14.24を抜歯し、ワイヤー部分矯正で抜歯スペースを閉鎖後、マウスピース矯正を使用して臼歯部や前歯の方向を正しい向きに改善。歯並び、過蓋咬合、臼歯部噛み合わせは改善されその後保定装置(リテーナー)を使用し安定している。
リスク
  • 歯根呼吸や、歯根の成長が阻害される可能性、歯髄が壊死する可能性。
  • 歯の痛み、顎の痛み、虫歯、歯周病、矯正器具により口腔粘膜の傷、喋りにくさが生じる可能性。
  • 矯正治療後は、リテーナーを使用しないと歯の位置に後戻りが生じる可能性。

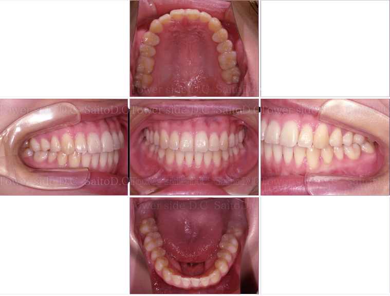
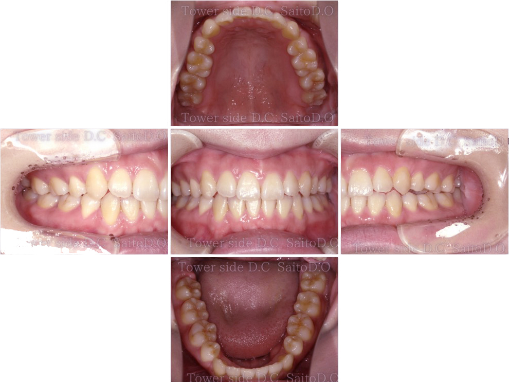
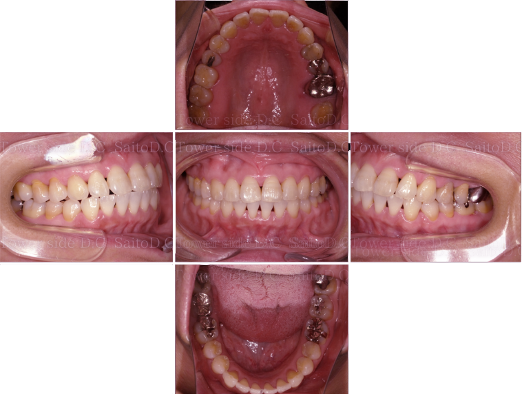
症例9CASE 9

|30代歳(女性)|

ワイヤー矯正
症例(施術前)
症例(施術後)
主訴 上前歯が出ている、上下前歯のガタガタが気になる
状況
  • 上顎前歯前突
  • 上下顎叢生
  • 口唇閉鎖不全有
治療費 880,000円(税込)(自由診療)
治療期間 2年5ヶ月
治療内容 14.24.35.45を抜歯し、ワイヤー矯正にて咬合改善を行った。叢生、臼歯部噛み合わせは改善され、その後保定装置(リテーナー)を使用し安定している。
リスク
  • 歯根呼吸や、歯根の成長が阻害される可能性、歯髄が壊死する可能性。
  • 歯の痛み、顎の痛み、虫歯、歯周病、矯正器具により口腔粘膜の傷、喋りにくさが生じる可能性。
  • 矯正治療後は、リテーナーを使用しないと歯の位置に後戻りが生じる可能性。

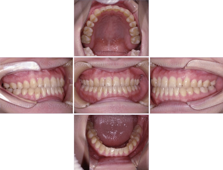
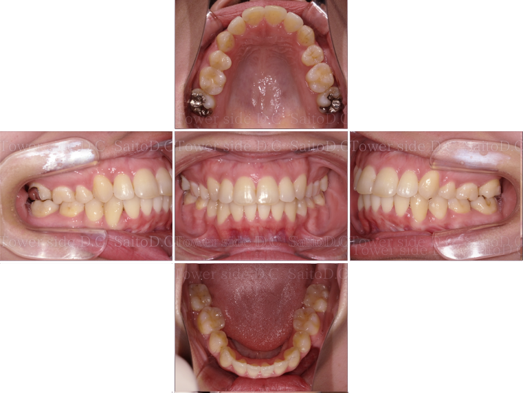
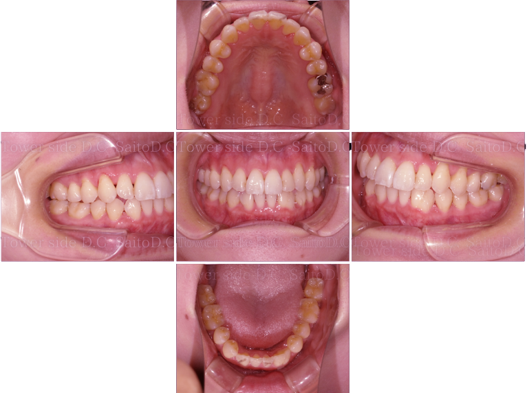
症例8CASE 8

|20代歳(女性)|

インビザラインエクスプレス
症例(施術前)
症例(施術後)
主訴 上顎側切歯の出っ張りを治したい
状況
  • 上顎前歯叢生
  • 上顎切歯口蓋側傾斜
  • 下顎叢生
治療費 519,200円(税込)(自由診療)
治療期間 8ヶ月
治療内容 歯のディスキングを行い歯列を整えた。叢生は改善され、その後保定装置(リテーナー)を使用し安定している。
リスク
  • 歯根呼吸や、歯根の成長が阻害される可能性、歯髄が壊死する可能性。
  • 歯の痛み、顎の痛み、虫歯、歯周病、矯正器具により口腔粘膜の傷、喋りにくさが生じる可能性。
  • 矯正治療後は、リテーナーを使用しないと歯の位置に後戻りが生じる可能性。

症例7CASE 7

|50代歳(女性)|

インビザラインモデレート
症例(施術前)
症例(施術後)
主訴 歯並びは気にならないが噛み合わせを改善したい
状況
  • 切端咬合
  • 空隙歯列(すきっ歯)
治療費 774,400円(税込)(自由診療)
治療期間 9ヶ月
治療内容 マウスピース矯正を使用し歯の生えている方向を正しい向きに改善、余計な隙間を閉鎖するとともに、切端咬合の改善を行った。その後保定装置(リテーナー)を使用し安定している。
リスク
  • 歯根呼吸や、歯根の成長が阻害される可能性、歯髄が壊死する可能性。
  • 歯の痛み、顎の痛み、虫歯、歯周病、矯正器具により口腔粘膜の傷、喋りにくさが生じる可能性。
  • 矯正治療後は、リテーナーを使用しないと歯の位置に後戻りが生じる可能性。

症例6CASE 6

|30代歳(女性)|

インビザラインコンプリヘンシブ
症例(施術前)
症例(施術後)
主訴 歯のガタガタを綺麗にしたい
状況
  • 切端咬合
  • 前歯部叢生
  • 32番癒合歯
  • 42番先天的欠損
治療費 982,800円(税込)(自由診療)
治療期間 3年9ヶ月
治療内容 マウスピース矯正にて上顎大臼歯を遠心へ移動してオーバージェットを減らし、安定したかみ合わせを獲得。その後保定装置(リテーナー)を使用し安定している。
リスク
  • 歯根呼吸や、歯根の成長が阻害される可能性、歯髄が壊死する可能性。
  • 歯の痛み、顎の痛み、虫歯、歯周病、矯正器具により口腔粘膜の傷、喋りにくさが生じる可能性。
  • 矯正治療後は、リテーナーを使用しないと歯の位置に後戻りが生じる可能性。

症例5CASE 5

|20代(女性)|

マウスピース矯正
症例(施術前)
症例(施術後)
主訴 八重歯が出ている
状況
  • 前歯部叢生
  • 上顎犬歯は低位唇側転位(八重歯)
  • 口唇閉鎖不全有
治療費 1,030,700円(税込)(自由診療)
治療期間 2年8ヶ月
治療内容 14.24.34.44EXTを抜歯。矯正開始後1年経たずして遠方へお引越しとなったが、患者様のご希望があり当院でマウスピース矯正を継続。叢生、八重歯、臼歯部噛み合わせは改善され、その後保定装置(リテーナー)を使用し安定している。
リスク
  • 歯根呼吸や、歯根の成長が阻害される可能性。
  • 歯髄が壊死する可能性 歯の痛み、顎の痛み、虫歯、歯周病、矯正器具により口腔粘膜の傷、喋りにくさが生じる可能性。
  • 矯正治療後は、リテーナーを使用しないと歯の位置に後戻りが生じる可能性。

症例4CASE 4

|20代(女性)|

インビザラインコンプリヘンシブ
症例(施術前)
症例(施術後)
主訴 前歯が噛み合わない
状況
  • 開咬
  • 舌癖
  • 八重歯
  • 叢生
  • 正中ズレ
治療費 968,000円(税込)(自由診療)
治療期間 1年2ヶ月
治療内容 第一小臼歯を4本抜歯。マウスピース矯正を主軸として行い、挺出用フックや左下567はワイヤー併用し、咬合改善を行なった。その後、保定装置(リテーナー)を使用し安定している。
リスク
  • 歯根呼吸や、歯根の成長が阻害される可能性、歯髄が壊死する可能性。
  • 歯の痛み、顎の痛み、虫歯、歯周病、矯正器具により口腔粘膜の傷、喋りにくさが生じる可能性。
  • 矯正治療後は、リテーナーを使用しないと歯の位置に後戻りが生じる可能性。

症例3CASE 3

|42歳(女性)|

インビザライン症例
症例(施術前)
症例(施術後)
主訴 歯のガタガタを綺麗にしたい
状況
  • 開咬(前歯が噛み合わない)
  • 下顎のシフト(下顎が右側へズレている)
  • 叢生(歯並びの凸凹)
治療費 1,030,700円(税込)(自由診療)
治療期間 2年3ヶ月
治療内容 インビザラインを使用し歯の生えている方向を正しい向きになおす。咬み合わせの高さ治療も加え、治療開始から2年3ヶ月で綺麗な歯並びを獲得。その後、保定装置(リテーナー)を使用し安定している。
リスク
  • 歯根呼吸や、歯根の成長が阻害される可能性、歯髄が壊死する可能性。
  • 歯の痛み、顎の痛み、虫歯、歯周病、矯正器具により口腔粘膜の傷、喋りにくさが生じる可能性。
  • 矯正治療後は、リテーナーを使用しないと歯の位置に後戻りが生じる可能性

症例2CASE 2

|58歳(女性)|

表側ワイヤー矯正症例 / 矯正用インプラントアンカー使用
症例(施術前)
症例(施術後)
主訴 歯のガタガタを綺麗にしたい
顎のズレが気になる
状況
  • 下顎のシフト(下顎が左側へズレている)
  • 叢生(歯並びの凸凹)
  • 臼歯部反対咬合
治療費 907,500円(税込)(自由診療)
治療期間 2年5ヶ月
治療内容 下顎前歯1本便宜抜歯。表側ワイヤー矯正装置を使用し歯の生えている方向を正しい向きになおす。矯正用インプラントアンカーを使用して、顎の偏位の改善を図る。咬み合わせの高さ治療も加え、治療開始から2年5ヶ月で綺麗な歯並びを獲得。その後、保定装置(リテーナー)を使用し安定している。
リスク
  • 歯根呼吸や、歯根の成長が阻害される可能性、歯髄が壊死する可能性。
  • 歯の痛み、顎の痛み、虫歯、歯周病、矯正器具により口腔粘膜の傷、喋りにくさが生じる可能性。
  • 矯正治療後は、リテーナーを使用しないと歯の位置に後戻りが生じる可能性。

症例1CASE 1

|8歳2ヵ月(女の子)|

症例(施術前)
症例(施術後)
主訴 前歯が出てこない。
状況 右側前歯が歯茎の中にもぐっていて、その方向は下向きでなく、前向きになっている。
治療費 330,000円(税込)(自由診療)
治療内容 もぐっている前歯の先端を見えるようにして矯正器具を装着し、生えている方向を正しい向きに直す。治療開始から10ヵ月で、きれいな歯並びを獲得。その後、保定装置を半年使用し、現在は保定装置を使わず安定している。
リスク
  • 歯根の吸収や、歯根の成長が阻害される可能性。
  • 歯髄が壊死する可能性。
LINE矯正相談